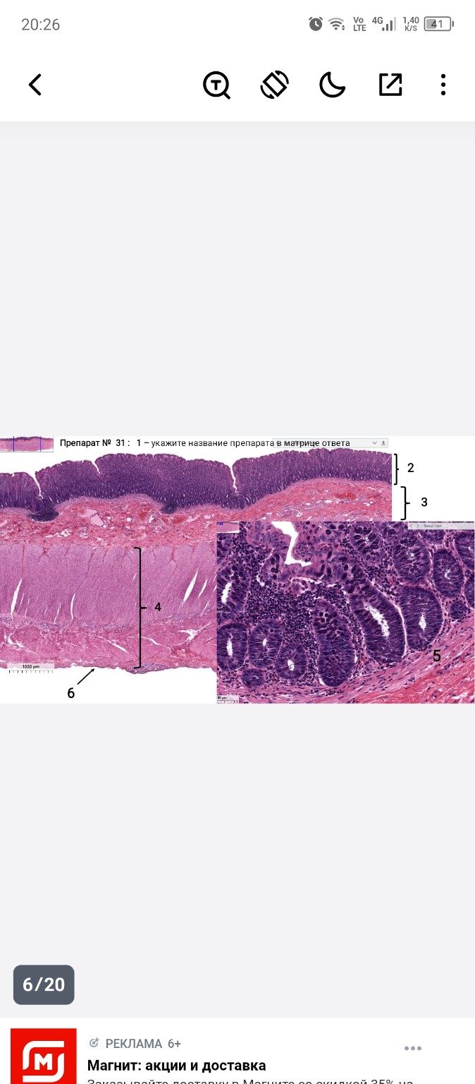
Препарат № 31:
1. Название препарата: Толстая кишка
2. Обозначение: Слизистая оболочка
3. Обозначение: Подслизистая основа
4. Обозначение: Мышечная оболочка
5. Обозначение: Крипты (железы) толстой кишки
6. Обозначение: Серозная оболочка (или адвентиция, в зависимости от отдела толстой кишки)
